Dr. Mantash’s Smile Transformations

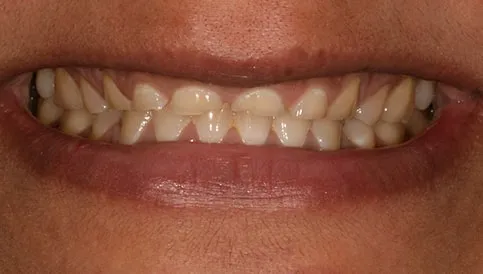
Invisalign

Before imageAfter image
Before imageAfter image

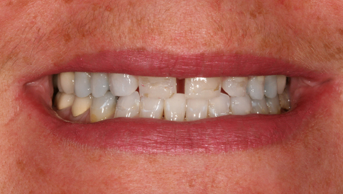
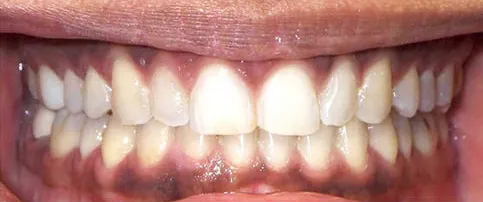
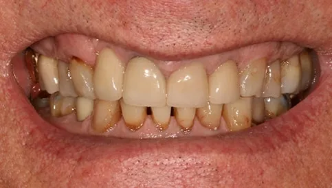
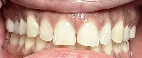
4 Anterior Crowns (Smile Makeover)

Before imageAfter image

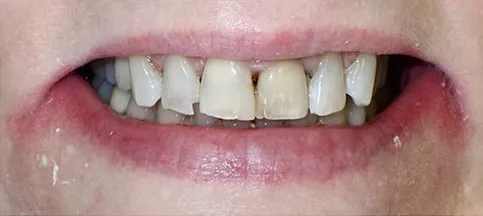
Dr. Blisset’s Smile Transformations

Before imageAfter image
Before imageAfter image
Before imageAfter image
Before imageAfter image
Before imageAfter image
Call Now Schedule Now
Click to listen highlighted text!